|
JA静岡厚生連。保健・医療・福祉の事業を通じ地域の暮らしに根ざした病院として社会の構築に寄与する。
|
 |
〒422-8006 静岡県静岡市駿河区曲金三丁目8番1号
TEL : 054-284-9854 |
 |
|
|
|


|
| JA静岡厚生連 機関誌「すてっぷ」特集記事です。 2021.4 |
NO.521 |
|
乳がん検診
~乳腺超音波検査について~ |

|
リハビリテーション中伊豆温泉病院
臨床検査科技師長
髙橋 詩帆 |

超音波とは
人の耳に聞こえる音の範囲は20ヘルツから20,000ヘルツと言われています。20,000ヘルツ以上の、人が聞く事が出来ない音を超音波と呼んでいます。
私たちには聞こえない超音波を利用して生活する動物たちがいます。よく知られているのがコウモリやイルカ、クジラなどです。コウモリは暗い中でも、えさとなる虫や動物を探すことができます。これはコウモリが超音波を出して「やまびこ」のように戻ってきた音をキャッチしているためです。目には見えなくても、超音波を使うことにより、方向や距離がわかるのです。
どのように見えるのか?
「やまびこ」は山に向かって『ヤッホー』と叫ぶと、しばらくしてから『ヤッホー』と返ってくる現象です。超音波も「音」ですから、この反射の性質を持っています。超音波検査は、からだの表面から超音波を送受信する医療機器(プローブと呼びます)をあてて、やまびこ(エコー)をみるものです。戻ってきた音の量を画像に変換しています。画像は白黒です。大きさや形、密度が濃いのか薄いのかなどを、白黒の濃淡で表します。

乳がん検診では何が見えるのか
超音波検査では乳房を表面から5センチメートル位の深さまで観察します。乳房は皮膚・脂肪・乳腺・脂肪・大胸筋の層になって確認できます。乳がん検診では乳腺の層の乳管に異常は無いか?何か塊りは出来て無いか?を探します。(図1)
塊りや乳管の変化など主なものを次にあげます。

○嚢のう胞ほう
日常で比較的よくみる事があります。嚢胞とは、分泌物が袋状に貯まる病態のことで、分泌と吸収のバランスが崩れると起こると言われています。35~50歳の女性に多くみられます。通常、一つの乳房にいくつもできることが多いのですが、一つだけのこともあります。また、月経周期によっても大きさが変わり、月経前に大きくなることがあり、大きさや数に個人差があります。そのほと
んどが良性で、治療の対象とはならず放置して良いものです。ただ、嚢胞の中にがんが隠れていたり、がんと区別がしにくいものもあるので、病院で適切な検査や処置が必要な場合があります。
(図2)

○乳腺線維腺腫
乳腺線維腺腫とは、乳房の代表的な良性腫瘍で、10歳代後半から40歳代の人に多く起こります。コロコロとしたしこりで、触るとよく動きます。形はお供え餅のようにへん平で滑らかな感じです。線維腺腫と診断された場合は、特別な治療は必要なく、乳がんの発症とも関係ありません。閉経後には徐々に縮小してしまうことが多いのですが、しこりが急速に大きくなる場合は摘出すること
もあります。(図3)

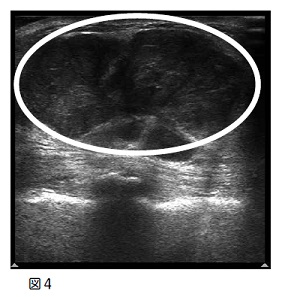
○葉状腫瘍
初期のものは線維腺腫に似ていますが、急速に大きくなることが多いのが特徴です。ほとんどが良性ですが、なかには良性と悪性の中間のものや、悪性のものもあります。葉状と言われるように葉っぱの様な形が集まりボコボコして見える事が多いです。精密検査が必要で針生検と言う少し太めの針を刺し(局所麻酔をします)小さな組織を抜き取り、病理検査を行います。しかし、線維腺
腫と区別がつかないこともあるので、その場合は経過観察が必要です。(図4)

○乳腺症(病理学用語)
いわゆる乳腺症は,30~40歳代の女性に多くみられる乳腺のさまざまな良性変化をひとくくりにして呼ぶときの総称です。
超音波検査では、乳腺領域に嚢胞が多発したり、左右対称に乳腺領域が厚かったり、さまざまな所見がみられることがあります。
病理学的には、乳腺の良性変化には嚢胞・乳管内乳頭腫(乳管内の良性腫瘤)・腺症など、さまざまな病態が含まれており、それが乳腺の一部に集まるとしこりとして触知されることがあります。しこり以外の症状としては硬結(しこりではないが限局した硬い部分)・疼痛(乳房痛)・異常乳頭分泌が挙げられます。
乳腺症には、主として卵巣から分泌されるエストロゲンとプロゲステロンというホルモンがかかわっており、閉経後に卵巣機能が低下すると、これらの症状は自然に消失します。硬結は月経前に増大し、月経後に縮小します。硬結部は何もしないでも痛むか、押さえると痛むことが多く、この痛みも月経周期と連動します。乳腺症に伴う異常乳頭分泌の性状は漿液性(サラッとした水のようなもの)、乳汁様あるいは血性などさまざまです。漿液性や乳汁様の場合には、ほとんど問題はありません。血性乳頭分泌(血液の混じった分泌物)がみられた場合には、乳腺良性疾患の一種である乳管過形成や乳頭腫である頻度が高いですが、乳がんが隠れている可能性もあるので詳細な検査が必要になります。月経周期と連動するしこりや痛みはあまり心配する必要はありませんが、月経周期に関係のないしこりに気づいたら医療機関を受診してください。
○乳がん
超音波検査では、乳がんの種類によっていろいろな形に見えます。典型的ながんでは、固くゴツゴツしています。形はへん平では無く、丸くて凸凹があることが多いです。大きくなると表面のやわらかい脂肪を巻き込むので、乳房が凹んで見えることがあります。基本的には針生検という針をさして小さな組織を抜き取り、病理検査を行って診断されます。(図5・6
)
〇乳がん検診の前に
自分の乳房に日頃から関心を持ってください。
乳房を意識して生活することで、乳がんの早期発見・診断・治療につながります。女性にとって非常に重要な生活習慣です。以下の4つの項目を実践しましょう。
① 自分の乳房の状態を知るために、日頃から自分の乳房を、見て、触って、感じて普段の感触を 覚えてください。
② 気をつけなければいけない乳房の変化を知りましょう(しこりや乳頭からの血性の分泌物など )
③ 乳房の変化を自覚したら,すぐに医療機関へ行きましょう。
④ 定期的に乳がん検診を受診しましょう。
入浴やシャワー、着替えの時などに、気軽に自身の乳房の状態を触ってみましょう。乳がんは自分の手で触ることが出来るがんです。急に触っても何もわからないかも知れません。入浴中にせっけんのついた手で優しく触ってみてください。指を揃えて押すようにまんべんなく触るとわかりやすいです。着替えの時に鏡の前で左右の乳房を見比べて下さい。腕を挙げて形の変化を左右で見比べてください。多少の大きさが違うことはよくありますが、定期的に見ていると変化に気が付くことがあるかも知れません。着替えの時に下着の乳首が当たる所を見るのも重要です。分泌物があると下着が汚れることがあります。
毎日でなくとも日にちを決め曜日を決めて意識して、触って、見てみましょう。自分の通常の乳房を覚えることができます。変化があった場合には医療機関を受診することも大切です。気のせいでも良いと思いますので勇気をもって受診してください。不安のままの時間を過ごさないでください。
日頃から自分の乳房に関心をもち、定期的な検診を受けることが重要です。特に、乳がん検診で精密検査の必要がないと判定された場合でも、しこりや血性の乳頭からの分泌物などの自覚症状がある場合は、放置せずに速やかに医療機関を受診することが重要です。
超音波検査の安全性
超音波検査は検診や産婦人科の領域でも広く実施されています。それは、人体にとって無害で苦痛をともなわない検査だからです。
超音波検査は、医師以外に国家資格(免許)を持った臨床検査技師、または診療放射線技師が主に行っています。
超音波検査を担当することになった技師は、専門知識や特殊技量の向上を重ね、常にレベルアップを図り、皆さまに安心して検査を受けていただけるように頑張っています。

参考文献
超音波検査学会ホームページ
https://www.jss.org/general/general01.html
乳房超音波診断ガイドライン
|
記事一覧はこちらから |
|