関節リウマチとは
関節リウマチは関節を包む滑膜(かつまく:関節を構成する要素のひとつ)に炎症を起こす、自己免疫疾患(免疫の働きが狂い、自分自身を攻撃すること)です。
多関節に腫れや痛みがでて、滑膜の細胞は増殖、関節液も増え、進行すると骨の表面が溶けたような「びらん」が起き関節が破壊され、日常生活が困難になります。
また呼吸器や造血器、消化器等の関節外症状も現れてくる場合があり、全身管理をしていく必要性が高い病気です。
関節リウマチの治療
治療は薬剤が中心であり、これまでは免疫抑制剤、抗リウマチ薬、消炎剤、ステロイド薬等を中心に行われてきました。2003年より生物学的製剤が登場したことによりリウマチの治療は大きく変化しました。
生物学的製剤について
最新のバイオテクノロジー技術を駆使して開発された新しい薬で、生物が産生した蛋白質を利用して作られています。
関節リウマチの炎症や痛み・腫れ、そして骨や軟骨などの関節破壊を引き起こす原因となる物質を抑えることにより、その効果を発揮します。しかし問題点もあります。
何種類かの薬剤がありますが、どの薬が効くのか使ってみなければわかりません。効果が有ったとしても、長期にわたり使用していると効果が無くなり、薬を変更しなければならない場合があります。また副作用もあり、間質性の肺炎や隠れていた肝炎・結核の発病などもあります。
しかし効果は非常に高く、リウマチ治療は大きく前進したと言われています。また早期に使うほど効果は高いと言われていて早期発見が非常に重要となります。
診断と問題点について
*問診・視触診
本人の話を聴いて状況を判断し、医師が関節を触り、滑膜の腫れの確認をします。脂肪が厚かったり、滑膜の位置が深いところにあると滑膜の確認が触診では非常に難しく、判り難い場合があります。
*血液検査
抗CCP抗体(リウマチの滑膜に存在する物質)、MMP−3(滑膜表面で生産され、軟骨のプロテオグリカンを分解する酵素)、CRP(炎症の程度)等が代表的なものとして使用されています。
早期では数値が上がらない場合もあります。また数値が下がったからと言って滑膜の増殖が無くなったとは限りません。
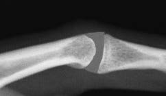
*X線検査
X線検査では、骨の破壊は判りますが、滑膜は判らず、初期の骨びらんも判りにくい場合があります。
*MRI検査
MRI検査は、非常に優れた検査で、滑膜増殖や骨の表面や内部の変化もよくわかります。しかし造影剤による副作用、金属があれば検査が出来ないこと、料金が高いこと、狭い場所に入るので長時間同じ姿勢をとってもらうことなどの問題点もあります。
グレーの部分が滑膜になりますが、X線検査では滑膜は写りません。
|
リウマチ超音波検査とは
当院では関節リウマチの検査に超音波を2008年より導入しています。関節超音波検査は関節リウマチが引き起こす滑膜の炎症を観察する画像検査です。検査は主に手指関節、手首の関節で行います。肘・肩・足首・膝等の検査を行う場合もあります。
検査は観察部位にゼリーを塗り、プローブと呼ばれる装置をあてる簡単な検査です。無害、無痛で、姿勢も手の検査の場合は椅子に腰かけ、台の上に手を置くだけです。検査時間は20分前後です。腹部超音波検査のような食事や飲料を止めることはありません。
検査ではモニターを見ることが可能で技師による説明もあります。

リウマチ超音波検査でわかること
炎症を起こしている関節滑膜は健常な場合と異なり厚みが増し、広範囲に拡がります。関節液が溜まる場合もあります。また滑膜内に異常な血流信号(パワードプラー法)を観察することができます。この観察の結果が関節リウマチの診断に役立ったり、お薬による治療がうまくいっているかどうかの判断の補助となります。



最後に
リウマチは早期に治療を行うことが非常に重要でそのためにはできるだけ早期に病気を発見することが必要です。
超音波検査は早期発見のための検査として利用されるようになってきました。しかし超音波検査だけですべてが判るものではありません。リウマチ以外の膠原病や変形性関節炎の一部でも滑膜の血流が見られることもあります。他の検査結果を踏まえ、リウマチ専門医による総合的な判断になります。
また超音波検査は検査者の技術、熟練度により変化をしてしまいます。当院では日本リウマチ学会の関節リウマチ標準化委員会主催の勉強会に参加して取得したトレーナーの資格を有する技師が中心に検査を行っています。
|